Connect with us

Health

Breaking: This makes oral cancer one of the deadliest forms of cancer.

Published

on

Oral Cancers deadly

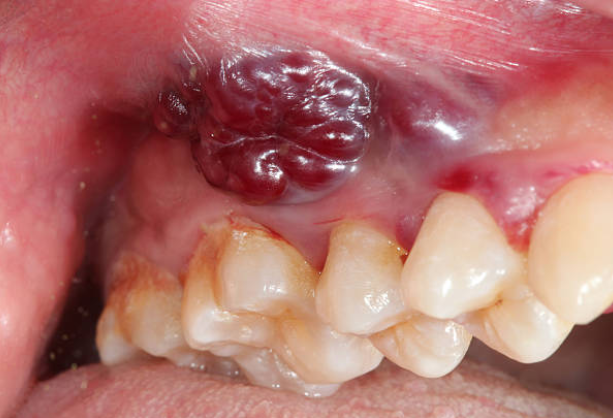
Oral cancer is a type of cancer that affects the mouth, throat, tongue, and lips. It is estimated that approximately 53,000 people in the United States will be diagnosed with oral cancer in 2023, and around 10,860 will die from the disease. This makes oral cancer one of the deadliest forms of cancer. In this article, we will explore why oral cancers kill and what can be done to prevent this deadly disease.

This makes oral cancer one of the deadliest forms of cancer.

The primary reason why oral cancers kill is that they are often diagnosed late, which means that cancer has already spread to other parts of the body. Early detection is crucial when it comes to treating any form of cancer, especially so with oral cancer. Unfortunately, oral cancer is often not detected until it has reached an advanced stage, which makes it difficult to treat.

One of the reasons why oral cancer is difficult to detect early is because it can be asymptomatic, meaning that there are no obvious symptoms in the early stages of the disease. Some of the most common symptoms of oral cancer include a sore throat, difficulty swallowing, and pain or discomfort in the mouth or throat. However, these symptoms can be easily mistaken for other conditions, which can lead to a delayed diagnosis.

Another reason why oral cancer is difficult to detect early is that it can develop in hard-to-see areas of the mouth, such as the back of the throat or the base of the tongue. These areas are not always visible during a routine oral exam, which means that early signs of oral cancer may be missed.

This makes oral cancer one of the deadliest forms of cancer.

The delayed diagnosis of oral cancer can also be attributed to the fact that many people do not receive regular dental check-ups. Dental check-ups are an important part of maintaining good oral health, and they can also help to detect oral cancer early. However, many people do not visit the dentist regularly, which means that potential signs of oral cancer may be missed.

Once oral cancer has spread beyond the mouth and throat, it can become much more difficult to treat. Oral cancer can spread to other parts of the body, including the lungs, liver, and bones. When this happens, the cancer is considered to be metastatic, which means that it has spread to other parts of the body.

Metastatic oral cancer is much more difficult to treat than localized oral cancer, which means that the chances of survival are much lower. Treatment options for metastatic oral cancer may include chemotherapy, radiation therapy, and surgery. However, these treatments may not always be effective, and cancer may continue to spread.

In addition to delayed diagnosis, there are several other factors that can contribute to the deadly nature of oral cancer. One of these factors is the fact that oral cancer is often linked to lifestyle choices. Smoking and heavy alcohol consumption are two of the most common risk factors for oral cancer. In fact, people who smoke and drink heavily are up to 30 times more likely to develop oral cancer than those who do not smoke or drink.

Another risk factor for oral cancer is exposure to human papillomavirus (HPV). HPV is a common sexually transmitted infection that can increase the risk of developing oral cancer. People who have multiple sexual partners and do not practice safe sex are more likely to contract HPV and develop oral cancer.

Read more on The Real Courses of Depression

Poor nutrition is another factor that can contribute to the deadly nature of oral cancer. A diet that is high in processed foods, sugar, and saturated fat can increase the risk of developing oral cancer. On the other hand, a diet that is rich in fruits, vegetables, and whole grains can help to lower the risk of developing oral cancer.

In conclusion, oral cancers kill primarily because they are often diagnosed late, which means that cancer has already spread to other parts of the body. Early detection is crucial when it comes to treating oral cancer, but this can be difficult due to carelessness.

Continue Reading
Click to comment

Leave a Reply

Your email address will not be published. Required fields are marked *